【症例紹介】インビザラインで叢生と出っ歯を治療・20代矯正治療
2025年10月29日(水)
コラム マウスピース矯正 成人矯正治療
インビザラインで叢生と出っ歯を治療した20代女性の症例
初診時の年齢が20歳代の女性です。
上下前歯の叢生(そうせい)と出っ歯が気になり来院されました。
叢生(そうせい)とは?
歯並びがガタガタの状態の歯列不正をこのように呼びます。乱杭歯(らんぐいば)とも言います。
STEP歯並びの状態を客観的に確認

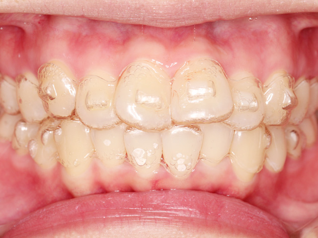
正面の画像です。上下の前歯に叢生が見られます。
上下とも中切歯(中央の前歯)よりも側切歯(中央から2番目の前歯)が内側に位置しています。特に左下の側切歯(中央から2番目の前歯)の叢生ははなり重度の状態です。

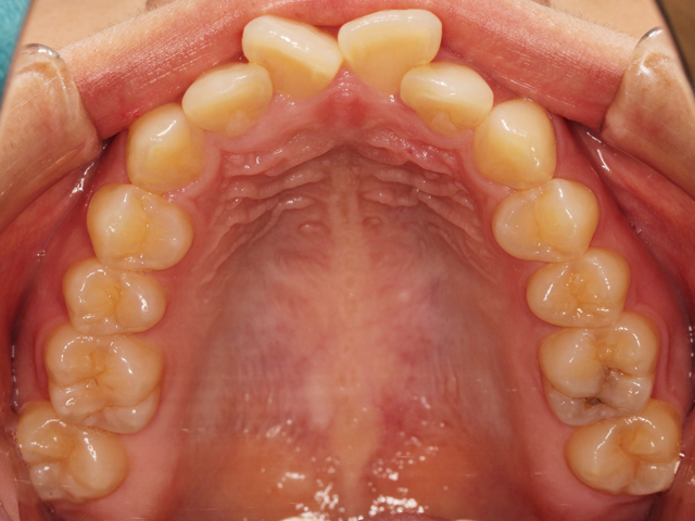
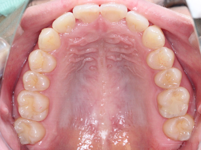
上顎の画像です。前歯のスペースが不足しています。
中切歯が押し出されているように見える状態です。また右上の中切歯は専門用語で「捻転(ねんてん)」と呼ばれる、歯が捻じれている状態です。
正中の中心に向かって捻じれている「近心捻転(きんしんねんてん)」と呼ばれる状態です。

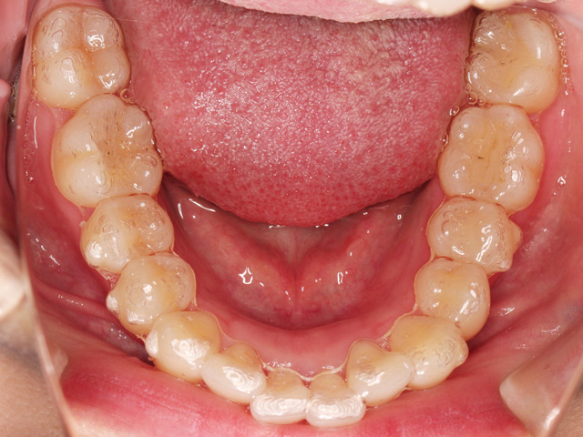
下顎の画像です。上と同じく前歯のスペースが不足しています。
右下の中切歯は「近心捻転(きんしんねんてん)」、左下の側切歯は「舌側転位」と呼ばれる状態になっています。
捻転(ねんてん)とは?
歯が本来とは違う向きで生えてきている状態を専門用語でこのように呼びます。

こちらの画像は別の患者さんのものです。明らかに捻転とわかる歯牙に線を入れました。青線は本来向いているべき方向で、赤線は捻転の方向を入れました。
左下第1小臼歯が正しい状態とすると、手前の犬歯は遠心捻転、1つ後ろの第2小臼歯は近心捻転の状態です。
STEPご希望の治療方法の聞き取り
患者さまの希望している治療方法をお伺いします。
ご相談の段階で、患者さまご希望の治療方法を聞き取りします。
具体的には、下記の内容になるかと思います。
- 部分矯正による治療で改善させたいか?全体を治療したいか?
- どのような装置で矯正治療を希望しているのか?
- 治療の予算はどれくらいで考えているのか?
こちらの患者さまは、マウスピース矯正を希望されていました。
きちんと治療したいので全体矯正で問題ないとのことです。予算についても金額についての質問がご相談の段階でありましたが、説明の上で問題ないとのことでした。
資料を収集して分析、治療方針と装置の提案・相談

セファロレントゲンの側方画像です。
レントゲン画像に写り込んでいる鼻と上下口唇のバランスは悪くありません。
ただし、上の前歯はいわゆる「出っ歯」と呼ばれる状態で、明らかに改善が必要です。

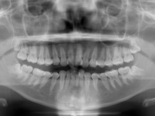
パントモレントゲンの画像です。
上下左右の親知らずが4歯とも埋伏しています。これらを抜歯してこのスペースを利用して叢生と出っ歯を改善できそうです。
分析した上での治療計画は
- ご希望通りインビザラインによるマウスピース矯正で治療する。
- 親知らずを4歯とも抜歯、その代わりに小臼歯は抜歯しない。
- 親知らずの抜歯は術前が理想であるが、大学病院依頼になり抜歯が完了するまで数ヶ月かかるため、治療治療と同時進行で進める。
患者さまの希望を汲み、治療方針の修正と変更を相談
ご本人の希望は「マウスピースによる全体の矯正治療」の1点だけです。
親知らずの抜歯についても同意をいただき、計画通り矯正治療と親知らずの抜歯を同時進行で進めていきます。
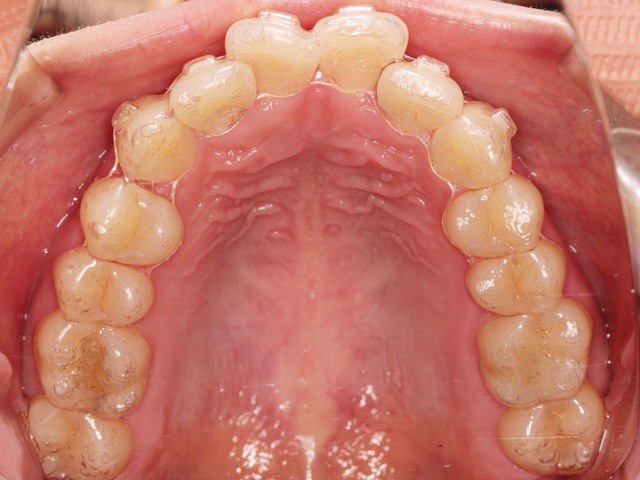
STEP術前・術中・術後画像の比較
術前



術中



術後



診療情報
| 主訴 | 出っ歯 |
| 年齢・性別 | 23歳9ヶ月(初診時) 女性 |
| 症状(診断) | 上顎前歯の叢生と唇側傾斜を伴ったアングル1級症例 |
| 治療方針 | 上下左右の第3大臼歯(親知らず)を矯正治療前に抜歯。第1小臼歯は抜歯せず。 使用装置はインビザラインによるマウスピース矯正により叢生と唇側傾斜を改善。 |
| 装置の種類 | インビザライン |
| 治療に関しての副作用や留意点 | 口腔内清掃を怠ると、歯肉炎や歯周病、う蝕罹患のリスクを生じる。 矯正治療が進み叢生が改善されると、新たなう蝕の罹患が見つかる可能性がある。 |
| 治療期間 | 4年4ヶ月(初診時の相談、術前の歯科治療を含む) |
| 通院回数 | 66回(初診時の相談、術前・術中の歯科治療を含む) |